Why should I choose root canal therapy?
Toothaches are painful and can distract you from living your best life. They can also be a sign of a serious infection. Fortunately, root canal therapy can provide you with the relief you need, and with modern techniques, you can expect to remain comfortable through the procedure. Root canal therapy is designed to restore the health of your tooth, saving you from a tooth extraction down the road. If you think you may be in need of a root canal, book an appointment today.
.webp)



The Benefits of Root Canal Therapy
Relieve Tooth Pain
Instantly alleviate your toothache by clearing out any infected or decayed material.
Stop The Spread Of Infection
Left untreated, infection can spread to other parts of your mouth, and even the rest of your body.
Save Your Tooth
Restore the health of your tooth, and avoid the need for a more drastic procedure like an extraction.
The Root Canal Treatment Process
Diagnostics & Preparation
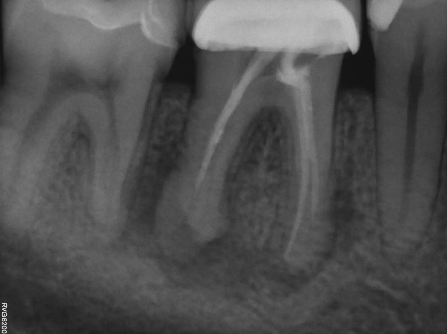
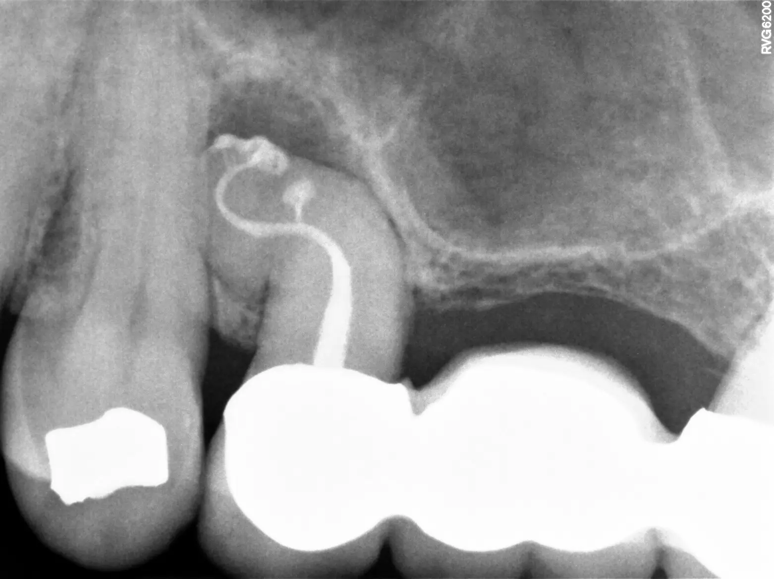
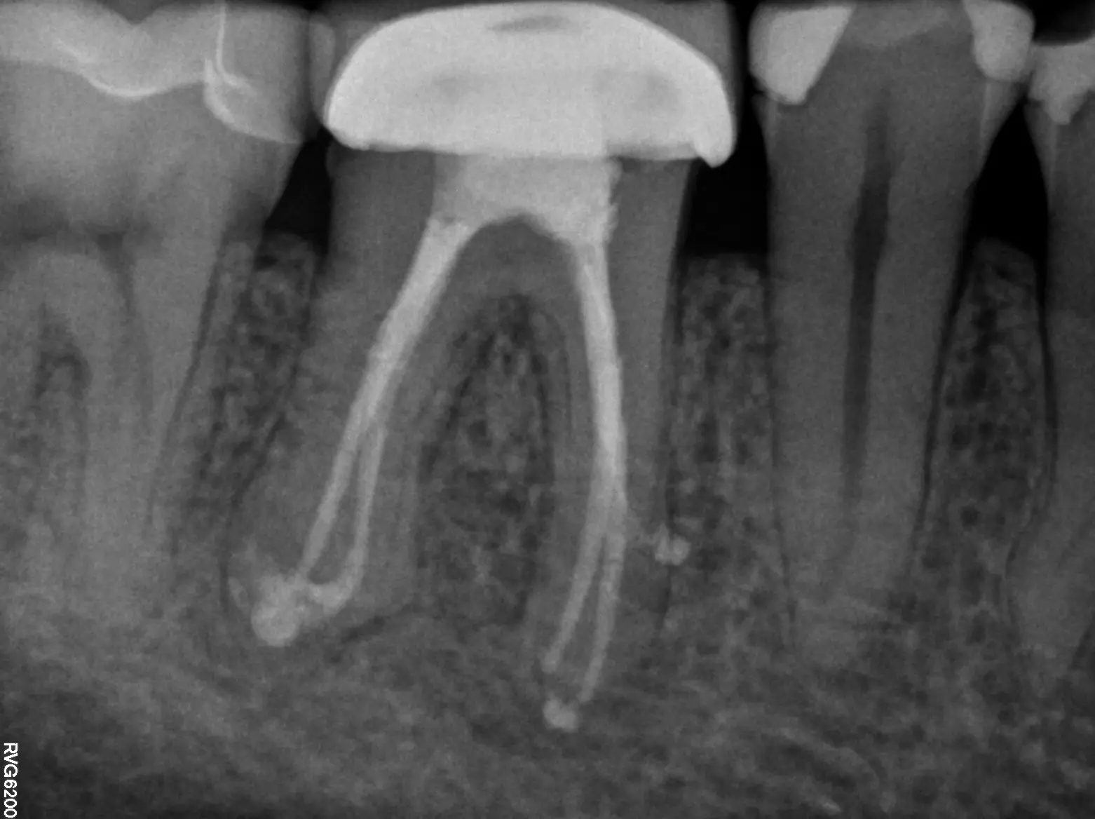
To find the source of your dental pain, your endodontist will begin by performing a comprehensive exam and review of your x-rays to get a complete picture of your oral health. If your tooth is infected, they will determine the extent of the infection to decide if root canal therapy will be an effective treatment.
If you end up needing a root canal, your endodontist will begin the therapy by numbing the treatment site, all the way down to the nerves. Your endodontist will discuss options for anxiety management before starting the procedure.
Removing Decay & Infected Pulp
Once you’re comfortable and fully numbed, your endodontist will begin the process of removing any decayed or infected material. Beginning with the enamel, your endodontist will move inwards, toward the pulp. Once the infected pulp has been cleared out, the canals will be cleaned with a special disinfectant to eliminate any remaining infection.
Filling & Sealing
Once your tooth has been completely cleaned and sanitized, the interior will be filled with a rubber-like material called gutta-percha. An inert material, gutta-percha replaces the extracted pulp and helps support the tooth and maintain its structure. Once the interior of the tooth has been filled, it will be restored with either a temporary or permanent filling to protect the tooth until a crown is placed by a general dentist if needed.
What makes us different
FAQs
Frequently Asked Questions
Check out these frequently asked questions, or call us to speak with our team.
Root canal therapy is a specialized procedure designed to treat the innermost layer of the tooth—the dental pulp. When the pulp becomes inflamed or infected, it can lead to symptoms like lingering sensitivity to hot or cold, pain while chewing, or noticeable swelling. Root canal treatment helps relieve these symptoms, save your natural tooth, and prevent the need for extraction.
We know a root canal probably isn’t on your bucket list—but we’re here to make the experience as easy and comfortable as possible. With expert care and advanced technology, we’ll restore your tooth to health so you can get back to smiling, eating, and living with confidence.
Relief from dental pain is the main reason patients seek treatment in our office. Fortunately, modern local anesthetics make endodontic procedures pain-free in most cases. Seeking treatment early makes the procedure more comfortable, so don’t delay in scheduling. When caught early, treatment should feel no different than having a regular filling.
Conventional root canal therapy usually takes between 30-90 minutes to complete. The anatomy of your tooth, status of the pulp, and any existing materials inside your tooth can affect the time of treatment. In rare cases, treatment will be divided into two separate appointments depending on the extent of infection. In the two- to four-week interim, a medication is placed in your tooth to kill bacteria, relieve pain, and prepare the tooth for the final root canal filling.
Once the procedure is completed and the anesthesia has worn off, you may experience some discomfort for a few days while your tooth and jaw continue to heal. We typically advise patients to chew food on the opposite side away from the treated tooth until the discomfort has disappeared. There are usually no other restrictions to your usual daily routine. Over-the-counter anti-inflammatory medications may be recommended for a day or two. Dr. Arasu can prescribe other medications, but they are rarely required. Please contact our office if you experience unusual or prolonged pain.
Your general dentist may have already taken some recent X-rays of your teeth before your visit with us. To arrive at a diagnosis and recommend treatment, we require specific angles of the tooth that can only be obtained with in-house imaging. We will do our best to obtain the images from your referring dentist and compare them to our own, so that we can review the complete picture with you
If you have previously undergone root canal treatment and are experiencing persistent tooth pain or discomfort, it could indicate the presence of new infections, untreated canals, or other issues that need to be addressed. Thankfully, we may be able to save your tooth. Schedule a consultation with our office, and we can discuss if you’re a good candidate for either endodontic retreatment or apical surgery.
In most cases, you will be referred back to your general dentist who will make sure the tooth has an appropriate permanent restoration. Back teeth (e.g. molars and premolars) will frequently require a crown if there is not already one in place. If you have received a temporary filling in our office after completion of root canal treatment, we recommend getting the permanent filling and/or crown from your general dentist within three weeks.



