More Endodontic Treatments in Grand Rapids
Tooth infections can be excruciating, but you don't need to live with the pain. Endodontists are highly trained specialists who perform a variety of procedures, like root canal therapy, that can restore your oral health and relieve your dental pain. If you have a tooth ache, an abscess, or another sign of infection book a visit today to see how we can help you get back to smiling comfortably.


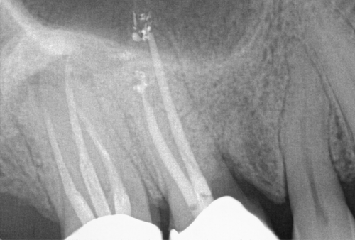
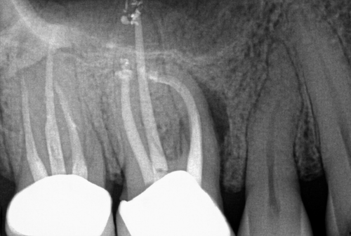
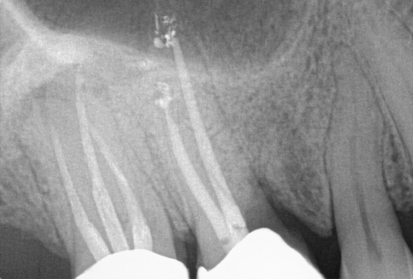
Successful Root Amputation
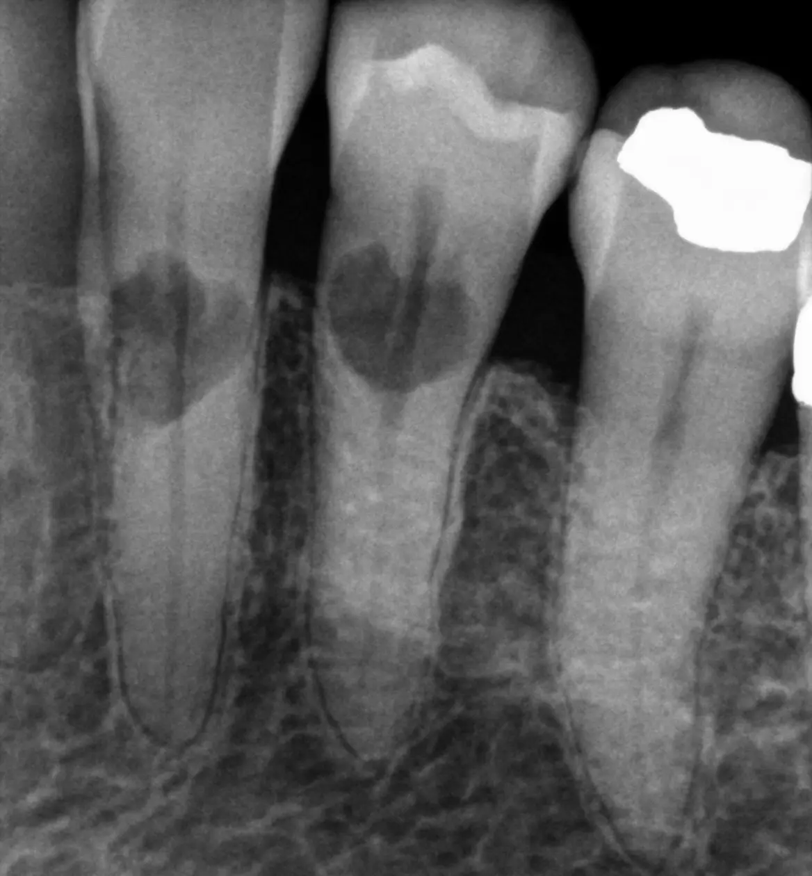
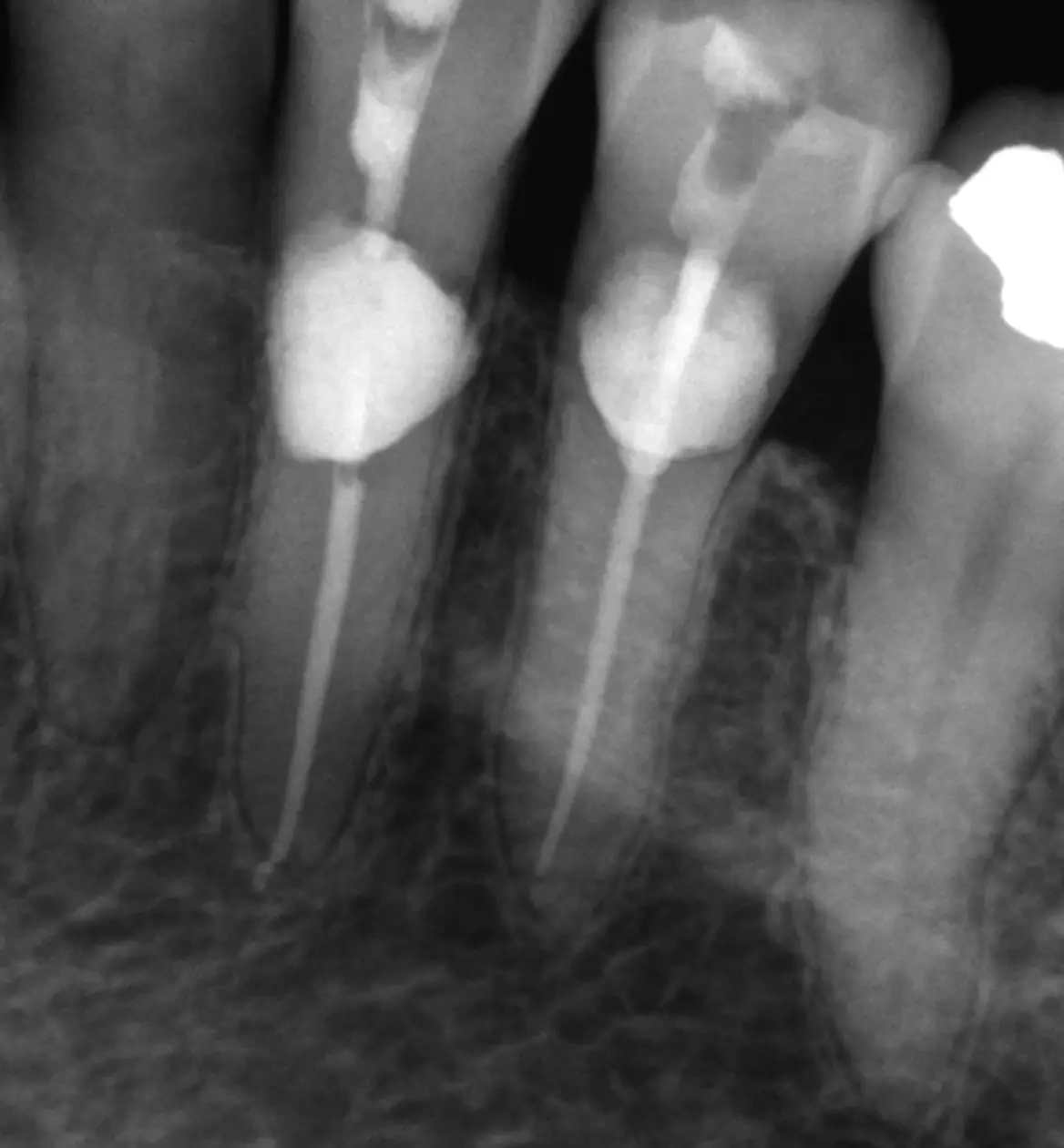
Resorption
Resorption is a condition where the tooth’s structure starts to break down, either from the inside out or from the outside in. It can be caused by trauma, inflammation, or other factors. Endodontic treatment for resorption involves removing the damaged tissue and reinforcing the tooth with materials that help prevent further damage. The aim is to save the tooth and maintain its functionality as much as possible.

.webp)
%20(1).webp)
Traumatic Dental Injuries
Dental injuries can happen due to accidents or sports and range from minor chips to more serious problems like dislodged or knocked-out teeth. Endodontic treatment is crucial in these situations to save and protect the injured teeth. It's important to seek treatment quickly to avoid infection and other complications. Timely care can ensure the affected teeth are preserved and continue to function properly.



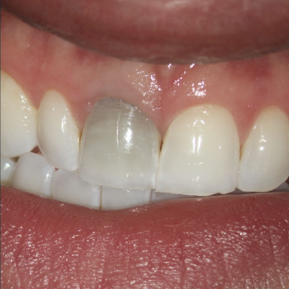
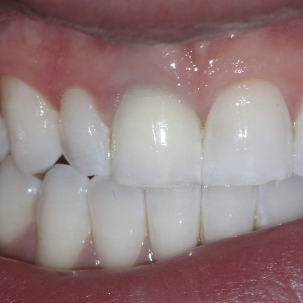
Internal Bleaching
Internal bleaching is a specific procedure used to whiten teeth from the inside. It’s particularly useful for teeth that have darkened following previous trauma. This technique involves placing a bleaching agent inside the discolored tooth, which whitens it from within. This safe and effective approach helps restore the natural look of the tooth without damaging the outer enamel.



Cracked Teeth
If you’ve cracked one or more of your teeth, chewing can begin to move the cracked pieces, which irritates the pulp within the tooth. Biting pressure can cause the crack to close quickly, which results in sharp pain. This constant movement will damage the pulp and generate consistent discomfort, even when you are not chewing. When left untreated, cracks can infect the pulp tissue, which can spread to the bone and gum surrounding the problematic tooth.
Endodontists specialize in saving cracked teeth and will tailor your treatment to ensure you can smile and chew again with ease. The sooner your crack is addressed, the better! Don’t hesitate to give our office a call for the care that can’t wait.

